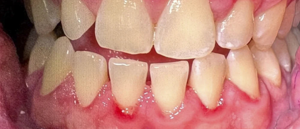
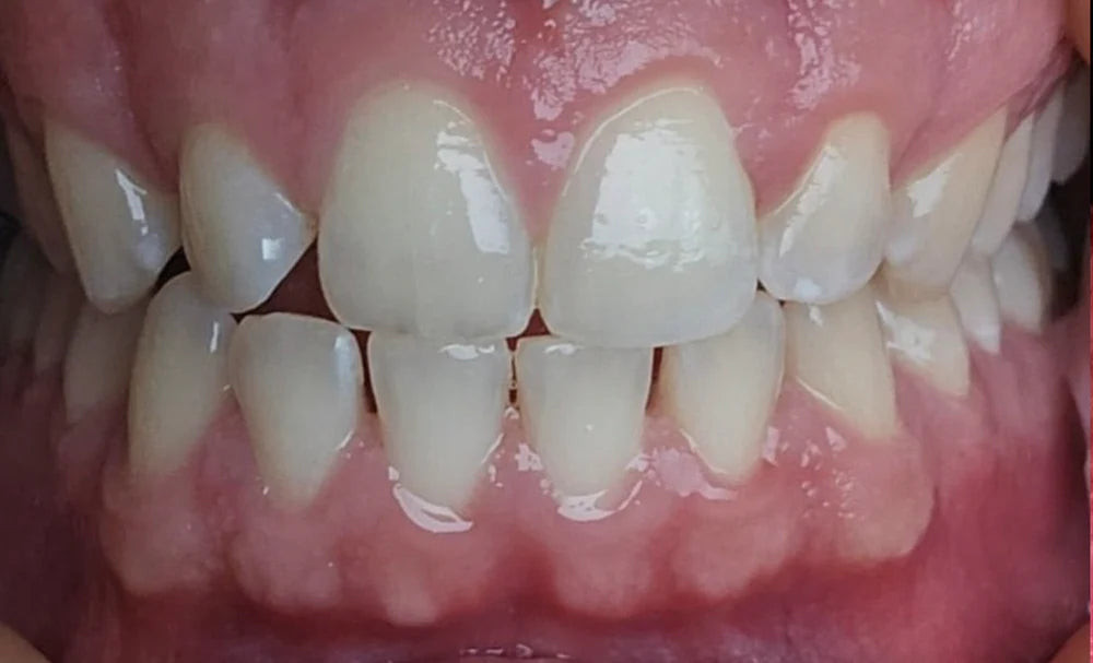
Patiëntencase
Tijdens een follow-upperiode van 4 weken, waarbij Lumoral werd gebruikt als aanvulling op de dagelijkse mondhygiëne, werden duidelijke verbeteringen in de mondgezondheid vastgesteld.
De bloeding bij sonderen (BOP) daalde aanzienlijk van 52% bij aanvang naar 15%, wat wijst op een sterke afname van gingivale ontsteking.
Ook de gemiddelde plaque-index (API) verbeterde duidelijk, van 75% naar 36%, wat duidt op een significant betere controle van tandplak en mondhygiëne.
Deze resultaten sluiten aan bij bevindingen uit klinische studies rond Lumoral en tonen aan dat regelmatig gebruik als aanvulling op mechanische plaquecontrole kan leiden tot snelle en klinisch relevante verbeteringen in tandvleesgezondheid en biofilmbeheer.

Baseline

Follow-up na 4 weken
Lumoral-behandeling
De Lumoral®-behandeling is bedoeld als aanvulling op de reguliere mechanische mondhygiëne. Het is een lichtgeactiveerde antibacteriële behandeling die helpt bij de preventie en behandeling van biofilmgerelateerde aandoeningen in de mond, zoals:
- tandvleesaandoeningen
- cariës
- orale mucositis
De werking is klinisch aangetoond en draagt bij aan een betere controle van supragingivale biofilm door de patiënt.

Voordelen voor professionals
Lumoral verbetert de aanpak van orale ontsteking en helpt patiënten sneller behandelbaar te worden.
• In een 6 maanden durende gerandomiseerde gecontroleerde studie (n=200) bereikten meer dan twee keer zoveel patiënten gezond tandvlees in vergelijking met standaardzorg. Dit helpt parodontitispatiënten sneller vooruit richting implantologie, orthodontie en andere behandelingen.
Thuiszorg blijft consistent effectief tussen consultaties, waarbij biofilm dagelijks onder controle wordt gehouden.
• Een betere biofilmcontrole vermindert het risico op herval van parodontitis en peri-implantitis. Lumoral is bijzonder geschikt als ondersteuning bij de behandeling van parodontale, implantaat- en orthodontische patiënten. Tijdens de onderhoudsfase kan Lumoral gericht ingezet worden bij gingivitis of peri-implant mucositis door de gebruiksfrequentie tijdelijk te verhogen naar dagelijks gebruik.
In de praktijk betekent dit meer voorspelbare behandelingen, meer tevreden patiënten en minder complicaties.
• Wanneer ontsteking thuis beter onder controle blijft, verloopt de behandeling vlotter en worden de resultaten voorspelbaarder. Tegelijk verbetert de patiëntervaring en dalen de kosten verbonden aan complicaties.
Eenvoudige 3-stappen routine

Spoelen
Spoel Lumorinse® gedurende 60 seconden in de mond en spuug het daarna uit. De lichtgevoelige kleurstof indocyaninegroen bindt zich aan de biofilm. Deze binding is niet noodzakelijk zichtbaar met het blote oog.

Activeren
Houd het mondstuk 10 minuten in de mond. Het licht activeert de kleurstof die zich aan de biofilm heeft gehecht en start het antibacteriële effect. Een warm gevoel en een verhoogde speekselproductie maken deel uit van de behandeling.

Poetsen
Reinig de interdentale ruimtes en poets de tanden grondig na de behandeling. De behandeling heeft de structuur van de biofilm verzwakt, waardoor reinigen effectiever wordt.
Lumoral innovatie
Volgens de behandelrichtlijnen van de EFP wordt professionele én thuis uitgevoerde supragingivale biofilmcontrole sterk aanbevolen voor alle parodontitispatiënten. Traditionele fotodynamische therapie (aPDT) wordt echter niet aanbevolen door de EFP. Het gebrek aan geschikte lichtbronnen heeft de brede toepassing ervan vertraagd en binnen de tandheelkunde wordt ze voornamelijk in klinieken toegepast met laserlicht. Studies tonen aan dat behandelingen regelmatig moeten worden uitgevoerd om een blijvend effect te bereiken, maar de methode bleef beperkt tot dure, eenmalige behandelingen.
Lumoral® biedt hiervoor een oplossing. Dankzij de nieuwste LED-technologie brengt Lumoral® deze wetenschappelijk onderbouwde methode voor het eerst naar thuisgebruik. Dit maakt het mogelijk om het volledige potentieel ervan op een nieuwe manier te benutten: regelmatig, veilig en kostenefficiënt.
| Kenmerk | Traditionele aPDT (in de praktijk) | Lumoral (thuisbehandeling) |
|---|---|---|
| Werkingsprincipe | De kleurstof wordt in de tandvleespocket ingebracht en geactiveerd met een laser. | De kleurstof wordt aangebracht en het licht wordt toegediend via een LED-mondstuk. |
| Toepassingsomgeving | Alleen beschikbaar in tandartspraktijken | Eenvoudig thuis te gebruiken |
| Doelgebied | Tandvleespockets, ontstoken weefsel | Biofilm, ontstoken weefsel |
| Gebruiksfrequentie | 1 tot 3 behandelingen per jaar | Dagelijks of wekelijks |
| Prijs | Hoge kost, vereist gespecialiseerde apparatuur | Betaalbaar voor langdurig gebruik |
| Duur van het effect | Eenmalige behandeling | Continu en preventief effect |
| Beperkingen | Beperkt tot klinieken, hoge kost | Vereist regelmatig gebruik |
| Effect | Direct effect, beperkt langetermijneffect | Continu effect, vermindert biofilm en ondersteunt gezond tandvlees |
Het werkingsprincipe van de Lumoral-behandeling
Lumoral combineert vier technologische effecten in één doeltreffende behandeling.

Fotobiomodulatie (PBM) – 810 nm
810 nm licht stimuleert de mitochondriën in tandvleescellen en verhoogt de productie van ATP. Het vermindert ontsteking en bevordert weefselherstel. Wordt klinisch toegepast bij de behandeling van onder andere orale mucosale ontstekingen.

Fotothermisch effect (aPTT)
Indocyaninegroen bindt zich aan bacteriële biofilm en wordt geactiveerd door licht van 810 nm. Het licht wordt omgezet in warmte, die de biofilm en bacteriële celmembranen afbreekt. De warmte stimuleert ook de speekselproductie.

Fotodynamisch effect (aPDT)
Onder invloed van licht produceert dezelfde kleurstof ook een kleine hoeveelheid reactieve zuurstof, wat het fotothermisch effect ondersteunt. Het antibacteriële effect is eveneens werkzaam in de biofilm.

Antibacterieel blauw licht (aBL) – 405 nm
Blauw licht activeert de natuurlijke kleurstoffen van bacteriën, waardoor de effectiviteit van aPTT- en aPDT-behandelingen wordt verhoogd. Omdat dit effect gebaseerd is op de natuurlijke structuren van bacteriën, kunnen zij geen resistentie ontwikkelen tegen de Lumoral-behandeling.

Bewezen effectiviteit
✓ Effectieve behandeling bij parodontitis en peri-implantitis
✓ Regelmatig gebruik mogelijk zonder ontwikkeling van bacteriële resistentie
✓ Niet-invasief en goed verdragen
✓ Vermindert tandplak en tandsteenvorming
✓ Vermindert ontstekingen
✓ Draagt bij aan het verminderen van tandvleespockets
✓ Ondersteunt langdurige mondgezondheid
✓ Eenvoudig in gebruik, ook voor ouderen en jongeren
Effectiviteit van Lumoral in studies
Klinische studies naar de Lumoral®-behandeling worden ontworpen en uitgevoerd volgens internationale normen, waaronder ISO 14155 – GCP (Good Clinical Practice voor klinisch onderzoek met medische hulpmiddelen) en de Europese MDR-wetgeving (EU 2017/745). Wanneer klinische studies van hoge kwaliteit worden uitgevoerd en gebaseerd zijn op wetenschappelijke evaluatie, kunnen zowel gebruikers als mondzorgprofessionals vertrouwen op de kwaliteit en prestaties van het medisch hulpmiddel.
Bloeding bij sonderen (BOP%)
Resultaat: de BOP% daalde significant in de Lumoral®-groep in meerdere studies.
• p-waarden: 0,031, 0,00142, 0,00013, 0,00014, <0,0001 (niet-rokers)
Plaque-indices
Visible Plaque Index (VPI%): significante daling in meerdere studies
• p-waarden: 0,031, 0,00452, 0,044, 0,00395, 0,019
Rustogi Modified Plaque Index (RMPI): significante daling
• p-waarde: 0,0026
Greene-Vermilion Plaque Index (GVPI): significante daling
• p-waarde: <0,00010
Diepe pockets
Pocketdiepte bij sonderen (PPD): significante afname in drie studies
• p-waarden: 0,04982, 0,00434, 0,019
Parodontaal epitheliaal oppervlak (PESA): significante afname in twee studies
• p-waarden: 0,0342, 0,0094
Ontstoken pocketoppervlak (PISA)
Significante afname in twee studies (eindrapport in peer review)
• p-waarden: 0,00162, 0,0344
Klinische parodontale gezondheidsindex (CPI)
Significante verandering vastgesteld in CPI-metingen
• p-waarde: 0,00065
Enzymatische analyse van ontsteking (aMMP-8)
Significante verandering in twee studies
• p-waarden: 0,00471, 0,02683
Andere resultaten
• Droge mond nam af, zowel subjectief als in objectieve metingen.⁵
• Het gebruik van het Lumoral®-toestel verbetert de mondhygiëne (zowel subjectief als objectief geëvalueerd).¹ ² ⁷ ⁸ ¹⁰
• Het gebruik wordt als eenvoudig en gebruiksvriendelijk ervaren.⁷
• Langdurig gebruik (meer dan één jaar) leidt tot een vermindering van cariës, tandplak en tandsteenvorming.⁷
1. Lähteenmäki H, Pätilä T, Räisänen IT, Kankuri E, Tervahartiala T, Sorsa T. (2022). Repeated Home-Applied Dual-Light Antibacterial Photodynamic Therapy Can Reduce Plaque Burden, Inflammation, and aMMP-8 in Peri-Implant Disease—A Pilot Study. https://pmc.ncbi.nlm.nih.gov/articles/PMC8947626/
2. Pakarinen S, Saarela R, Välimaa H-M, Heikkinen AM, Kankuri E, Noponen M, Alapulli H, Tervahartiala T, Räisänen IT, Sorsa T, Pätilä T. (2022). A Randomized Trial of Home-Applied Dual-Light Photodynamic Therapy in Stable Chronic Periodontitis (HOPE-CP) – Interim Analysis of Half Cohort Results. https://pmc.ncbi.nlm.nih.gov/articles/PMC9689653/
3. Lähteenmäki H, Pätilä T, Räisänen IT, Kalliala R, Sorsa T. (2025). Peri-Implant Diseases: Enhanced Antibacterial Photodynamic Therapy. https://onlinelibrary.wiley.com/doi/10.1002/cre2.70146
4. Tegelberg P, Ojala M, Ylipalosaari M, Lindroth J, Heikkinen AM, Lähteenmäki H, Pakarinen S, Räisänen IT, Sorsa T, Pätilä T. (2025). A Multicenter, Controlled, Randomized Trial of Home-Applied Dual-Light Photodynamic Therapy in Chronic Periodontitis. Preprint: https://www.medrxiv.org/content/10.1101/2025.03.25.25324596v1
5. Romppanen W, Helenius-Hietala J, Korte S, Pakarinen S, Saarela R, Heikkinen AM, Sorsa T, Pätilä T. (2025). Dual-Light Antibacterial Photodynamic Therapy: Oral Health Improvements in Assisted Living Facilities Study Design (Article in Press)
6. Cavalcante-Bitu C, Halen P, Lehti S, Pakarinen S, Pätilä T. (2025). Regularly Home-applied Dual-light Photodynamic Therapy on Dental Hygiene- a Prospective Randomized Study in Healthy Adults. (Full study article manuscript TBD, Thesis available in Finnish: https://www.theseus.fi/handle/10024/799188)
7. Niva E, Kulmala H, Vakkuri S, Keinänen A-L, Korteniemi A. (2024). Thesis. Comfort of using the Lumoral device and feeling of oral cleanliness in healthy adults. https://www.theseus.fi/handle/10024/870703
8. Haukka H, Kinnunen S, Pakarinen S. (2024). Thesis. The benefits of the Lumoral Treatment -device for oral self-care habits. https://urn.fi/URN:NBN:fi:amk-2024112630435
9. Sundberg E, Kylmänen M, Eerikäinen H, Pätilä T, Sivén M. (2024) Thesis. The effect of home-use antibacterial photodynamic treatment on clinical oral parameters of patients with grade II or higher periodontitis – Evaluating an innovative medical device. https://helda.helsinki.fi/items/e9f93e98-1387-4c33-ba12-54f73526b6ae
10. Gusseva L, Lill L, Runnel R, Pätilä T. (2025) Thesis. Regular Home-Use of Dual-Light Photodynamic Therapy in Oral Plaque Control in Healthy Adults-A Randomized Cross-Over Study. https://cdn.shopify.com/s/files/1/0264/6291/2621/files/Tarto_hygiene_study_thesis_En_22May2025.pdf?v=1748262952
11. Nikinmaa S, Alapulli H, Auvinen P, Vaara M, Rantala J, et al. (2020) Dual-light photodynamic therapy administered daily provides a sustained antibacterial effect on biofilm and prevents Streptococcus mutans adaptation. PLOS ONE 15(5): e0232775. https://doi.org/10.1371/journal.pone.0232775 Nikinmaa S, Moilanen N, Sorsa T, Rantala J, Alapulli H, Kotiranta A, Auvinen P, Kankuri E, Meurman JH, Pätilä T. Indocyanine Green-Assisted and LED-Light-Activated Antibacterial Photodynamic Therapy Reduces Dental Plaque. Dentistry Journal. 2021; 9(5):52. https://doi.org/10.3390/dj9050052
Klinisch behandeltraject met Lumoral

Beoordeel de mondhygiëne en zorgbehoeften van de patiënt
Controleer op: biofilm, gingivitis, bloeding bij sonderen (BoP), verdiepte parodontale en peri-implantaire pockets, risicofactoren voor de gezondheid, zelfzorggewoonten en voer een aMMP-8-test uit.

Stel een individueel behandelplan op
Preventief: controle van biofilm en behoud van mondgezondheid
Therapeutisch: controle van ontsteking en remming van ziekteprogressie
Intensieve zorg: intensieve behandeling van acute ontsteking

Lumoral als onderdeel van het dagelijks leven van de patiënt
Het toestel wordt meegegeven aan de balie of rechtstreeks thuis geleverd.
Snel in gebruik: ongeveer 15 minuten per behandelsessie.
Een natuurlijke aanvulling op de ochtend- of avondroutine.
Geen specifieke vaardigheden vereist.
Geschikt voor alle leeftijden – zelfstandig of met hulp te gebruiken.
Beoordeel de mondhygiëne en zorgbehoeften van de patiënt
Controleer op: biofilm, gingivitis, bloeding bij sonderen (BoP), verdiepte parodontale en peri-implantaire pockets, risicofactoren voor de gezondheid, zelfzorggewoonten en voer een aMMP-8-test uit.
Stel een individueel behandelplan op
Preventief: controle van biofilm en behoud van mondgezondheid
Therapeutisch: controle van ontsteking en remming van ziekteprogressie
Intensieve zorg: intensieve behandeling van acute ontsteking
Lumoral als onderdeel van het dagelijks leven van de patiënt
Het toestel wordt meegegeven aan de balie of rechtstreeks thuis geleverd.
Snel in gebruik: ongeveer 15 minuten per behandelsessie.
Een natuurlijke aanvulling op de ochtend- of avondroutine.
Geen specifieke vaardigheden vereist.
Geschikt voor alle leeftijden – zelfstandig of met hulp te gebruiken.



Aanbevolen door professionals
90% van de professionals die de behandeling hebben getest, beveelt Lumoral aan als onderdeel van de zelfzorg.
84% rapporteert voordelen met betrekking tot biofilm en parodontale gezondheid (zoals parodontale aandoeningen, een schoon mondgevoel, hoeveelheid en samenstelling van biofilm en overmatige tandsteenvorming).
Lumoral®-enquête bij mondzorgprofessionals, 2022–2025. Aantal respondenten: 660. Interne data van Koite Health Ltd.

Doctor in de tandheelkunde , gespecialiseerd in parodontologie, implantologie en chirurgische behandelingen van peri-implantitis. Actief in implantologie en onderwijs, en vicevoorzitter van de International Medical Laser Association (IMLA).
Dr. Amadine Para - Paris
"Lumoral past perfect binnen een moderne en proactieve aanpak van parodontale gezondheid.
Het is een innovatieve oplossing die patiënten actief betrekt bij hun behandeling en vooral bij preventie thuis.
Het gebruik is eenvoudig en toegankelijk, en maakt een meer autonome en regelmatige opvolging van parodontale aandoeningen mogelijk.
Naast behandeling is het ook een echt instrument voor therapeutische educatie dat de therapietrouw van patiënten op lange termijn versterkt.
In een context waarin preventie en onderhoud centraal staan, vormt Lumoral een bijzonder interessante evolutie om de mondgezondheid en implantaatgezondheid duurzaam te ondersteunen."

Tandarts, gespecialiseerd in parodontologie en implantologie. CEO van Les Centres Dentaires Victoria en oprichter en voorzitter van de vzw DMBA (Dental and Medical Belgian Association). Brussel
Babak Rastegar - Brussel
"Een uitstekend product, geschikt voor ouderen, oncologische patiënten, mensen met implantaten, patiënten in postoperatieve fase of met moeilijkheden bij het tandenpoetsen zoals bij motorische beperkingen. En eigenlijk voor bijna iedereen: dit product is ronduit magisch."

MD, PhD, Dr. Odont, Dr. h.c. (multi), FDS RCS (Ed)Hoogleraar, Afdeling Mond-, Kaak- en Aangezichtsziekten, Universiteit van Helsinki en Universitair Ziekenhuis Helsinki
Jukka H. Meurman - Helsinki
"Ik geloof oprecht in de kracht van dit innovatieve apparaat om mondinfecties aan te pakken. Wat het echt bijzonder maakt is het potentieel om ernstigere gezondheidsproblemen die het gevolg zijn slechte mondhygiëne te voorkomen."

Prof. Dr. Hoofd van de praktijk White Cross GmbH. Lid van de Raad van Bestuur van Medical School 11
Werner Birglechner
"De klinische gegevens tonen zeer overtuigend bewijs. Deze aanpak biedt enorm potentieel voor gerichte behandeling met minimale bijwerkingen. Vooral de behandeling van parodontitis zal met Lumoral aanzienlijk verbeteren."

DDS, PhD, MSc Specialist in de parodontologie
Pekka Kallio
"Bij een implantaatpatiënt die Lumoral twee weken dagelijks gebruikte, kon ik vandaag opnieuw vaststellen hoe effectief deze methode is. De mondhygiëne was uitstekend en het weefsel vertoonde geen ontstekingsverschijnselen."

Tandarts
Pirta Liljekvist
"Voor patiënten met een verhoogd risico op parodontitis is Lumoral, gezien de bewezen werking, de allerbeste keuze."

Mondhygiënist
Aliisa Heinon
"Ik ben absoluut onder de indruk! Het is verbluffend om de resultaten in de mond van de patiënt te zien. Het tandvlees is als nieuw en de bloeding bij sonderen (BOP-index) is gedaald van 25% naar 2% bij de follow-up na 3 maanden. Alle diepe pockets (meer dan 4 mm) zijn verdwenen."

Mondhygiënist, onderzoekswetenschapper
Hanna Lähteenmäki
"De Lumoral-behandeling is een waardevolle aanvulling op de mondzorg thuis. Lumoral voorkomt en behandelt ontstekingen van het weefsel rond tandimplantaten en bevordert de algemene mondgezondheid."

Mondhygiënist, eigenaar @ Sun Hymy
Hannele Nyfors
"Lumoral is niet meer weg te denken! Al na één behandeling voel je het verschil: een frisse mond, gladde tanden en veel schoner dan met alleen poetsen en rageren (het gebruik van een interdentale borstel). Het voelt alsof je net bij de mondhygiënist bent geweest."
In het belang van de patiënt
Mijn tandarts raadde dit toestel aan omdat mijn slijmvliezen en tandvlees zo gevoelig waren dat zelfs het verwijderen van tandsteen geen optie was. Na slechts tien toepassingen merkte mijn tandarts al een duidelijke verbetering van mijn mondslijmvliezen en tandvlees. Ik ben dankbaar voor deze innovatie.
Ik ben het toestel ongeveer twee jaar geleden beginnen gebruiken op aanraden van mijn tandarts voor problemen met een droge mond. Het toestel heeft geholpen en mijn tandvlees in betere conditie gehouden. Inmiddels schaffen we ook een toestel aan voor mijn man.
Ik heb diabetes type II, wat ook heeft geleid tot parodontale aandoeningen. Jarenlang heb ik deze problemen proberen onder controle te houden met een zorgvuldige mondhygiëne, een elektrische tandenborstel en interdentale borsteltjes op aanraden van mijn tandarts, maar zonder het gewenste resultaat.Toen ontdekte ik Lumoral, en vanaf dat moment begon mijn mond echt te herstellen. Ik gebruik het toestel elke ochtend en avond als vast onderdeel van mijn grondige mondzorgroutine.Mijn tandarts en mondhygiënist stonden versteld van de sterke verbetering, en ik merk het natuurlijk zelf ook: de ontsteking is onder controle, mijn tandvleespockets zijn kleiner geworden en er is geen tandplak meer.Ik kan Lumoral van harte aanbevelen.
Plan een gesprek

